Specialized Dental Implant Treatments since 1991

The most reliable and long-lasting solution to missing teeth

Benefits of Getting
Dental Implants

at Drs. Nicolas & Asp Centers

Expert Surgeons
Board-certified, highly experienced
Complete Solutions
Single to full-arch implants
Modern Technology
Advanced tools for precision and comfort
Insurance Support
Wide coverage, less out-of-pocket
Flexible Financing
Easy payment options
Convenient Clinics
Jumeirah, Marina, Springs, Mirdif
Pain-Free
Gentle, comfortable treatments
Excellent Outcomes
Long-lasting, natural-looking results

Missing teeth can have a profound impact on your daily life, affecting not only the appearance of your smile but also your ability to eat and speak with comfort and confidence. Fortunately, dental implants offer a permanent and natural-looking solution to replace missing teeth, restoring your oral health and revitalizing your smile.

At Drs. Nicolas & Asp Centers, our team of highly skilled and experienced Specialist Oral Surgeons and Implantologists is dedicated to providing personalized, pain-free, and comprehensive dental implant solutions whether you're missing one, two, or a full arch of missing teeth.

Book your appointment

New Patient
Existing Patient
Full Name *
Mobile *
+971
Search
    Email *
    Preferred Date
    Preferred Time
    Preferred clinic *
    Upload your Insurance Emirates ID (optional)
    Browse Files No file chosen
    Notes & Other Queries
    Source
    Medium
    Campaign
    ID

    Our Specialist Implantologists

    Dr. Shehab Felfel

    Dr. Shehab Felfel

    Specialist Oral Surgeon
    BDS (Egypt), FFDRCSI (USA)
    Jumeirah, Marina, The Springs & Mirdif Centers

    Dr. Shehab Felfel

    Dr. Shehab Felfel

    Dr. Shehab is a highly skilled Specialist Oral Surgeon who has been in practice since 2005. He is a Fellow of the Faculty of Dentistry of the Royal College of Surgeons in Ireland (FFDRCSI).

    He graduated from 6th of October University, Egypt in 2003 and completed the Advanced International Program in Oral Surgery/RCSI at New York University (NYU) in 2010.

    He then joined the three-year, full-time RCSI-NYU FFD Program, and worked as a resident at NYU’s Department of Oral & Maxillofacial Surgery Clinic. He was awarded a Fellowship in Oral Surgery in 2013.

    In addition to his residency, Dr. Shehab has years of experience in Libya and the UAE. He provides the gold-standard in patient care and collaborates with our other specialists whenever necessary to provide optimum treatment results.

    He performs surgical extractions of impacted and non-restorable teeth, dental implants, bone augmentation, and sinus lifts. He is an expert in TMJ management, apicectomy, pre-prosthetic surgery, and surgical treatment of odontogenic and non-odontogenic cysts.

    He speaks Arabic, English, and German.

    Dr. Sahar Eissa

    Dr. Sahar Eissa

    Specialist Oral & Maxillofacial Surgeon
    DDS, MSc, PhD (Egypt)
    The Springs & Marina Centers

    Dr. Sahar Eissa

    Dr. Sahar Eissa

    Dr. Sahar is a highly experienced Specialist in Oral and Maxillofacial Surgery, with over 15 years of combined clinical clinical and teaching experience.

    She graduated with honors from Cairo University in 2007 and completed her Master’s in Oral and Maxillofacial Surgery in 2013. In 2018, she earned her PhD in the same field, also from Cairo University. Her achievements in dentistry have been recognized by the Egyptian Dental Union, which awarded her the prestigious Medal of Scientific Excellence.

    In addition to her clinical work, Dr. Sahar has been a dedicated faculty member at Cairo University since 2014, serving as an Assistant Professor in the Oral and Maxillofacial Department. She has held key positions, including Course Director of Implant Surgery and Manager of the Emergency and Diagnostic Center Unit. Dr. Sahar is also an active member of the Quality Assurance Unit within the Faculty of Oral and Dental Medicine at Cairo University, contributing to the continuous improvement of dental education and patient care.

    As an Oral and Maxillofacial Surgeon, Dr. Sahar is an expert in a wide range of oral surgeries under both local and general anesthesia. Her areas of specialization include dental implant planning and placement, extraction of deeply impacted teeth, removal of large oral cysts and lesions, and the diagnosis and treatment of temporomandibular joint (TMJ) disorders.

    She is also an active researcher and speaker. She has contributed to numerous scientific publications and has been invited to present at various international dental conferences.

    Dr. Sahar speaks English, Arabic, and French.

    Dr. Ghadir Atout

    Dr. Ghadir Atout

    Specialist Periodontist & Implantologist
    DDS, MSc, CAGS (USA)
    Jumeirah, Marina & The Springs Centers

    Dr. Ghadir Atout

    Dr. Ghadir Atout

    Dr. Ghadir is an American Board-Certified Periodontist with over 15 years of experience in Jordan, the US, and the UAE.

    She graduated in the top 10% of her class from Damascus University in 2003. She received her Master’s in Oral Biology and completed a 3-year postgraduate residency program in Periodontology (CAGS) at Boston University, School of Dental Medicine in 2011. She also served as Lead Periodontist at the Forsyth Institute, Harvard School of Dental Medicine, Cambridge, USA.

    Dr. Ghadir’s areas of expertise cover all aspects of periodontal (gum) and implant therapies, surgical and non-surgical treatment modalities including osseous surgery, mucogingival surgery, esthetic crown lengthening, soft tissue microsurgeries, implant and oral surgeries, immediate implant placements and immediate load provisionals.

    She is trained and licensed to perform surgeries under general anesthesia.

    She is a member of the American Dental Association and the American Association of Periodontology.

    She speaks English and Arabic.

    Dr. Shehab Felfel

    Dr. Shehab Felfel

    General Dentist & Specialist Periodontist (Brazil)
    Marina Center

    Dr. Shehab Felfel

    Dr. Chantal Mehanna

    Dr. Chantal is a Specialist Periodontist with over 15 years of private practice experience in Lebanon and the UAE.

    As a periodontist, Dr. Chantal is an expert in both cosmetic and surgical oral treatments, including scaling & root planing, extractions, crown lengthening, hard and soft tissue graft surgeries, external and internal sinus lifts, and dental implant placements.

    After earning her Bachelor's degree in General Science from Collège des Sœurs des Saints-Cœurs, she completed her dental degree at Saint Joseph University, Lebanon, in 2009. She went on to receive her Master’s Degree in Periodontology from the same university in 2012.

    Committed to continuous training in her field, she has completed several advanced bone and soft tissue regenerative techniques and implant therapy across the US, Germany, Romania, Italy, Hungary, and Bulgaria.

    She speaks English, Arabic, French, and Italian.

    Prof. Hakan Akincibay

    Prof. Hakan Akincibay

    Specialist Periodontist & Implantologist
    DDS, PhD (Periodontology), PhD (Medical Microbiology), DICOI
    Jumeirah, Mirdif & The Springs Centers

    Prof. Hakan Akincibay

    Prof. Hakan Akincibay

    Prof. Hakan is an accomplished and highly published Specialist Periodontist & Implantologist with over 35 years of clinical and teaching experience in Turkey and the UAE. He is a Diplomate of the International Congress of Oral Implantologists.

    He graduated from Gazi University Faculty of Dentistry, Turkey, in 1983. He subsequently obtained his Doctorate in Periodontology from Hacettepe University in 1987, and later earned a Doctorate in Medical Microbiology from the same university in 1998.

    He held several prestigious academic roles, serving as Assistant Professor and later Professor at the Hacettepe University Dental Faculty’s Department of Periodontology from 1983 to 2012. He also served as a part-time clinical instructor at Ajman University’s Dental College and as an Adjunct Professor and clinical supervisor at the University of Sharjah’s College of Dental Medicine.

    Prof. Hakan specializes in a wide range of dental implant procedures, including immediate implant placement for partially and fully edentulous patients. His expertise extends to surgical and non-surgical periodontal treatments, including LANAP laser-assisted gum surgeries. He is highly skilled in performing gingival and bone grafts, sinus lifts, frenectomy, frenotomy, and crown-lengthening surgeries. Additionally, he has extensive experience in the surgical removal of complex wisdom teeth and impacted teeth, providing comprehensive and expert care for his patients.

    Prof. Hakan is a member of the European Federation of Periodontology, the Turkish Society of Periodontology, and the Turkish Dental Association - Commission on Education, where he served as President for two terms.

    He speaks English and Turkish.

    Dr. Corentin Buron

    Dr. Corentin Buron

    Specialist Oral Surgeon & Implantologist
    Jumeirah Center

    Dr. Corentin Buron

    Dr. Corentin Buron

    Dr. Corentin Buron is a French Specialist Oral Surgeon and Implantologist with years of clinical experience in France and the UAE.

    He earned his DDS from Nantes University School of Dentistry in France, graduating in 2015. He then completed an intensive residency in Oral Surgery across multiple prestigious university hospitals in Brest, Saint-Brieuc, Le Mans, Nantes, and the Military Hospital of Brest, earning his Specialist in Oral Surgery qualification from Brest University in 2019.

    His dedication to continuous learning is evident through specialized certifications, including Maxillary Rehabilitation with Zygomatic Implants (Nobel Biocare Institute, Paris), Oral Implantology (Oroface Institute, Marseille), Splitting Surgery, and Hard & Soft Tissue Management (Branemark Osseointegration Center, Marseille).

    Dr. Corentin specializes in guided surgery and digital implant planning, ensuring precise and predictable outcomes. His proficiency includes immediate implant placement following tooth extraction, full-arch rehabilitation using the All-on-Four or All-on-Six techniques with immediate loading prostheses, and multi-implant placement with implant-supported prosthetics.

    Additionally, he is skilled in advanced hard and soft tissue management, including bone grafting, sinus elevation, and ridge splitting. He also performs complex extractions, such as impacted wisdom teeth and canines, and treats a range of oral conditions, including benign tumors, infections, and facial trauma in both young and adult patients.

    He speaks English and French.

    Dr. Salem Humaid Al Suwaidi

    Dr. Salem Humaid Al Suwaidi

    Specialist Periodontist (UAE)
    DMD, MSc, MRACDS (Periodontics)
    Uptown Mirdif Center

    Dr. Salem Humaid Al Suwaidi

    Dr. Salem Humaid Al Suwaidi

    Dr. Salem Humaid Al Suwaidi is a highly accomplished Emirati Specialist Periodontist known for his advanced expertise in non-surgical and surgical periodontology, implantology, and regenerative treatments. With a strong foundation in evidence-based care and a meticulous, patient-centered approach, he is dedicated to restoring oral health, function, and confidence through precision-driven periodontal therapy.

    He earned his DMD from Gulf Medical University in 2016, followed by a Professional Diploma in Advanced Aesthetic Dentistry and a Diploma in Law and Police Sciences in 2019. He later pursued postgraduate specialization and completed his Master of Science in Periodontology, graduating with High Distinction and Honors, from Mohammed Bin Rashid University of Medicine and Health Sciences in 2024.

    In addition, he holds the Membership of the Royal Australasian College of Dental Surgeons (MRACDS) in Periodontology, a distinguished qualification that reflects his advanced clinical skills and commitment to continuous excellence.

    Beyond clinical practice, Dr. Salem is an active contributor to the global dental community. He has presented internationally, including in Bahrain, Jordan, and Kuwait, and authored peer-reviewed research published in leading journals such as the Journal of Periodontology and Clinical Oral Implants Research. His scholarly work and registered intellectual publications further highlight his interest in exploring the relationship between oral and systemic health.

    He speaks English and Arabic.

    Why Choose Dental Implants to Replace Missing Teeth

    A dental implant is a small titanium post that serves as the substitute for the root of the tooth. It fuses to the jawbone and is fitted with a crown, a replacement tooth designed to match the color of your natural teeth. This clinically proven and safe procedure has been successfully used to restore missing teeth for over 60 years.

    Why Trust Drs. Nicolas & Asp Centers
    With Your Dental Implants

    Types of Dental Implant Solutions
    at Drs. Nicolas & Asp Centers

    Single-tooth Dental Implant

    A single titanium post replacing a missing tooth with a crown.

    Full Arch Dental Implants

    A complete set of teeth supported by multiple implants on one arch.

    Full Mouth Dental Implants

    A total restoration of both arches using multiple implants.

    All-on-4 Same-day Dental Implants

    A full-arch restoration using four strategically placed implants.

    All-on-6 Same-day Dental Implants

    A full-arch restoration using six implants for enhanced stability.

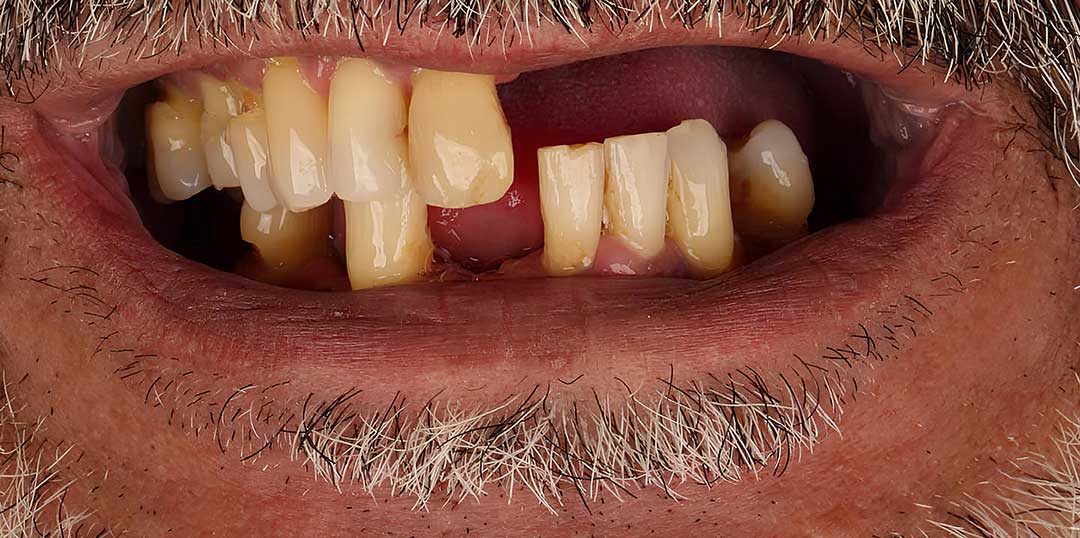
    Dental Implant Transformations

    Our Dental Clinics in Dubai

    Dental Clinic Jumeirah Dubai

    Jumeirah Clinic

    • 04 394 7777
    Dental Clinic Dubai Marina

    Marina Walk Clinic

    • 04 360 9977

    Springs Souk Clinic

    • 04 557 2949
    Dental Clinic Dubai Springs

    Uptown Mirdif Clinic

    • 04 255 9977
    Dental Clinic Dubai Mirdif
    tabby

    Smile Now, Pay Later.

    With Tabby, split your payments in 4 interest-free installments. Call us today to learn more.

    Accredication
    Accredication

    Contact Us

    • 04 394 7777
    • 04 360 9977
    • 04 255 9977
    • 04 557 2949

    We Accept Insurance

    We accept all major insurance for direct billing. We are happy to guide you through your specific coverage. Please don’t hesitate to contact us today for more information.

    Insurance

    Drs. Nicolas & Asp Centers accepts most major insurance cards for direct billing of all approved medical and dental services.

    Where no direct settlement facility is available, we will assist you in processing the required documentation to help you file a claim.

    We have direct billing agreements with the following insurance providers, third party administrators, and corporate partners. Please note that certain terms and conditions may apply to specific policies.

    Got Questions?

    Dental Services

    Medical Services

    Dental Services

    Medical Services

    Dental Services

    Medical Services

    Dental Services

    Medical Services

    Dental Services

    Medical Services

    Dental Services

    Medical Services

    Dental Services

    Medical Services

    Dental Services

    Dental Services

    Medical Services

    Dental Services

    Medical Services

    Dental Services

    Medical Services

    Dental Services

    Medical Services

    Dental Services

    Medical Services

    Dental Services

    Medical Services

    Dental Services

    Medical Services

    Dental Services

    Medical Services

    Dental Services

    Medical Services

    Dental Services

    Medical Services

    Dental Services

    Medical Services

    Dental Services

    Medical Services

    Dental Services

    Medical Services

    Dental Services

    Medical Services

    Dental Services

    Medical Services

    Dental Services

    Medical Services

    Dental Services

    Medical Services

    Dental Services

    Medical Services

    Dental Services

    Medical Services

    Dental Services

    Medical Services

    Dental Services

    Medical Services

    0% Interest Installment Plans